top of page

Articole

Search


Tratamentul Minim Invaziv al Osteomului Osteoid prin Ablația cu Radiofrecvență
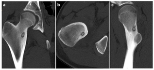
Osteomul osteoid este o formațiune tumorală osoasă benignă activă, de mici dimensiuni, care afectează de obicei persoanele tinere, în spe...


Prevenirea Leziunilor de Ligament Încrucișat Anterior: Strategii Eficiente și Protocolul FIFA 11+
Prevenirea leziunilor de LIA este esențială pentru sportivi, iar studiile au demonstrat că implementarea unor programe de antrenament spe...


Sutura de menisc: informații esențiale
Meniscul este o structură fibrocartilaginoasă la nivelul genunchiului, în formă de semilună, care acționează ca un amortizor între femur ...
bottom of page
